โรคเหงือก เหงือกร่น ปริทันต์ เหงือกอักเสบ
โรคเหงือก คืออะไร

โรคเหงือก คืออะไร
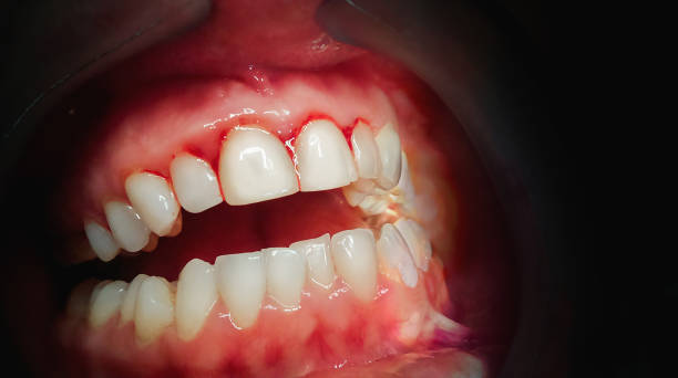
อีกโรคทางช่องปากที่พบได้บ่อย เกิดจากการสะสมตัวของคราบพลัค หรือคราบจุลินทรีย์ ที่เกาะบนผิวฟัน สาเหตุจากการแปรงฟันไม่สะอาด หรือไม่แปรงฟันจนทำให้เกิดการอักเสบติดเชื้อ หากไม่รีบเข้ารักษา อาจจะส่งผลรุนแรงลุกลามติดเชื้อไปยังกระดูกที่ยึดฟัน และบริเวณรอบข้าง จนทำให้สูญเสียฟันนั้นไป
วิธีสังเกตอาการของโรคเหงือก
- มีเลือดออกขณะแปรงฟัน%20เป็นอาการเบื้องต้น
- เหงือกเริ่มร่น จนเป็นโพรงระหว่างเหงือกกับฟัน
- มีอาการฟันโยก หลวม เป็นระยะรุนแรง ระยะที่เนื้อเยื่อที่ทำหน้าที่พยุงฟันถูกทำลาย
- มีกลิ่นปากรุนแรง
การรักษาโรคเหงือ
- หากพบว่าเริ่มมีอาการเลือดออกในระยะแรก ให้ดูแลฟันสม่ำเสมอ โดยการแปรงฟัน ใช้ไหมขัดฟันให้สะอาด
- เข้าพบทันตแพทย์เพื่อทำการขูดหินปูนเพื่อลดการเกิดคราบแบคทีเรียสะสม
- หากแพทย์พบมีมีอาการโรคปริทันต์ ต้องรีบรักษาทันทีเพื่อไม่ให้ลุกลามไปถึงขั้นรุนแรง
วิธีป้องกันโรคเหงือก
- แปรงฟันให้ถูกวิธี ใช้ไหมขัดฟันทุกครั้งหลังแปรงฟัน
- เลือกแปรงที่เหมาะสม เลือกขนแปรงที่ไม่แข็งเกินไป
- พบทันตแพทย์เพื่อตรวจช่องปากและขูดหินปูน 6 เดือน ต่อครั้ง อย่างน้อยสุดปีละ 1 ครั้ง
สามารถติดต่อทีมงานรับรายละเอียดเพิ่มเติม หรือนัดปรึกษาคุณหมอได้นะคะ
บทความนี้เขียนขึ้นโดยทีมงานของคลินิกทันตกรรม Idolsmile โดยบทความได้ส่งทีม ทันตแพทย์ดูรายละเอียดเบื้องต้นเรียบร้อยแล้ว
ติดตามรายละเอียดเพิ่มเติมได้ที่
แฟนเพจ Facebook Idolsmile
ติดตามวีดีโอรีวิวหรือสาระเกี่ยวกับฟัน ผ่านช่อง Youtube Idolsmile
สนใจสอบถามข้อมูลเพิ่มเติม
Idolsmile Clinic ลาซาล 55 (คลิกเพื่อดูแผนที่) tel: 089 981 2222
line : 089 981 2222